膝関節痛の治療について

当院での膝関節痛の治療について

当院では、スポーツ活動に伴う半月板損傷、靱帯損傷や中高年者の変形性膝関節症など幅広い年代の患者さんの膝痛の治療に対応しています。
まずはトレーニング指導や日常生活指導、リハビリテーション、内服薬、注射などの保存的治療を検討し、それでも改善が難しい場合に患者さんのスポーツ活動状況、職業など生活背景やご希望を踏まえて手術を検討します。

当院にて主に行われている膝の手術

膝関節鏡手術

関節鏡手術は、小さな切開から内視鏡を挿入し、関節内部を観察しながら処置を行う手術で、半月板損傷や靱帯損傷などに対して行われます。

半月板損傷

半月板は膝関節の隙間にあるクッションのような働きをする組織ですが、これを損傷すると膝痛の原因となるばかりでなく関節全体の変形の原因人なることもあります 非常に大切な組織で以前は部分切除も広く行われていましたが、最近では年代にかかわらず極力半月板を温存する(半月板を残す)方針で手術を行います 術後のリハビリについては損傷の形態、損傷の部位、損傷の範囲、それに対しどのような処置を行うかによって異なります。

靱帯損傷

膝関節には関節を両側から支える、内側及び外側側副靱帯、前後やねじりから膝を支える前十時靱帯、後十字靭帯と主に4つの大切な靱帯があります。靱帯損傷を放置すると膝の安定性が低下しスポーツや仕事が非常に制限されるだけでなく将来、関節変形の大きなリスクになります。靱帯損傷に対しては主に内視鏡下での再建術を行い機能的な膝の回復を図ります 一般的に靱帯損傷の手術後はスポーツ復帰に半年から1年かかりますが、手術からリハビリ、スポーツ復帰までサポートします。

関節内の炎症や遊離体

関節内の炎症により増殖した滑膜の切除や、ねずみと言われる遊離体の摘出なども内視鏡下手術で可能です 関節を切開する方法よりも膝への侵襲がかなり小さく生活復帰が早くできる可能性が高くなります。

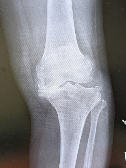
人工膝関節置換術

膝関節の軟骨のすり減りや骨の変形により歩行時の痛みが強い場合に行う手術で、膝の痛んでいる部分を切除し金属に置き替える手術です 痛みの軽減と歩行能力の改善には大きな効果があります 変形が進行し、強い痛みのため日常生活に支障が出ている方に適した治療法です。
高度な変形やリウマチなどに対しは全人工膝関節置換術(TKA)を行います。痛みが膝の内側か外側だけの場合には単顆部膝関節置換術(UKA)行います。

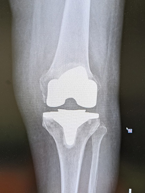
人工膝関節全置換術 (TKA)

  • 人工膝関節全置換術 (TKA)
  • 人工膝関節全置換術 (TKA)

傷んだ膝関節の骨、軟骨を切除して、大腿骨側、脛骨側にそれぞれ人工関節を挿入し関節の機能を再建する手術です。骨を切る際に、骨を切る量を調節してO脚やX脚を矯正します。

単顆部膝関節置換術 (UKA)

  • 単顆部膝関節置換術 (UKA)
  • 単顆部膝関節置換術 (UKA)

痛みが膝の内側か外側かに現局している場合にはUKA行います。
骨の変形が軽度で、膝関節の可動域がよく、靭帯が傷ついていない場合が適応になります。
人工関節全置換術(TKA)に比べて、皮膚の切開が小さく、骨の切除量が少なくなります。

脛骨近位骨切り術

骨切り術は、膝の骨の角度を調整し、関節の負担を分散し痛みの軽減を図る手術です。通常関節鏡視下での半月板手術と併用されることが多く、自身の関節を温存できるため、スポーツや仕事で膝をよく使う方やどうしても人工関節に抵抗がある活動性の高い方に適しています。基本的に術後1年程度で抜釘します。

内側開大脛骨近位骨切り術軽度のO脚変形に対し行われます。
逆V脛骨近位骨切り術高度のO脚変形に対し行われます。

手術の種類やタイミングは、患者さんの症状・年齢・生活スタイル・ご希望を踏まえて総合的に決定します。ご不安な点やご質問があれば、ご相談ください。